-
North Tallahassee
(850) 782-3232
-
South Tallahassee
(850) 782-3232
- Free Orthodontic Consultation
Board‑Certified Bradfordville, North Tallahassee Orthodontists — Associations & Credentials
Redemption Orthodontics, led by Dr. Michael Vracar and Dr. Taylor Vracar, has a strong history of providing specialist orthodontic care to the community.
Member: ADA, AAO, SAO, SSO, LCDA, WFO • American Board of Orthodontics • Diamond Invisalign Provider.
Among the Best Orthodontists in Tallahassee, FL
According to Local & National Media
Dr. Michael Vracar, DDS, MS and Dr. Taylor Vracar, DDS, MS are board-certified orthodontists delivering modern, family-centered orthodontic care in Tallahassee, FL. Together, they combine advanced orthodontic training, award-winning academic backgrounds, and a strong commitment to patient-first care. Their experience includes comprehensive braces, clear aligners, and complex orthodontic cases supported by research, teaching, and clinical excellence. As a doctor-owned practice, they emphasize ethical treatment, long-term relationships, and helping Tallahassee families achieve confident, healthy smiles.
Meet Dr. Michael Vracar, Your Top-Rated Family Orthodontist North Tallahassee Orthodontist
- Originally from Debary, FL, now serving Tallahassee families with comprehensive, evidence-based dental and orthodontic care.
- Earned his dental degree from the University of Florida College of Dentistry, receiving the L.D. Pankey Award and the Most Outstanding Tutor Award.
- Served as adjunct faculty at the University of Tennessee Health Science Center, contributing to dental education and clinical training.
- Board-certified orthodontist (ABO) following a three-year orthodontic residency.
- Actively supports the community through the Leon County Dental Association Board, advancing local dental care and outreach.


Meet Dr. Taylor Vracar, Your Top-Rated Family Orthodontist North Tallahassee Orthodontist
- Florida-raised orthodontist committed to serving the communities that shaped her life.
- Graduated Magna Cum Laude from the University of Florida and earned her dental degree from the UF College of Dentistry with High Research Honors.
- Recipient of major awards, including the College of Dentists Humanitarian Award, ACD Senior Ethics Award, Quintessence Research Award, Sarnat Craniofacial Biology Award, and ADA/DENTSPLY Student Clinician Award.
- Active member of the AAO, SAO, FAO, ADA, and Global Medical Training.
- Board-certified orthodontist providing compassionate, technology-driven treatment for patients of all ages in Tallahassee, FL.
Starting Orthodontics is Easy

Schedule
Book your first visit online or by phone — completely free of charge.
1

Choose Your Plan
Explore treatment and financing options tailored to your needs.
2

Same-Day Braces
Ready to get started? Treatment can often begin right after your consultation.
3
Core Orthodontic Services – Orthodontic Treatment in Bradfordville, Tallahassee
Braces
Metal braces and clear ceramic braces used to correct crowding, spacing, and bite alignment with reliable results.
Airway Orthodontics
Treatment focused on expanders, including MARPE and SARPE, to help guide jaw development and support healthy airway function.
Invisalign
Clear aligner treatment for children, teens, and adults designed to gradually move teeth into proper alignment.
Braces Removal
Safe and professional braces removal with polishing and custom retainers to maintain your new smile.
Orthodontics for Adults
Orthodontic treatment options for adults, including braces and Invisalign designed to fit busy professional lifestyles.
Orthodontics for Children
Orthodontic evaluations and care for children and teens, typically recommended starting around age 7.
Bite Problems & Airway Habits
Overbite
Excessive overlap of the upper and lower teeth is often seen when the upper front teeth extend forward.
Underbite
A bite condition that may require early treatment to help prevent the need for jaw surgery.
Crossbite
A misaligned bite where one or more teeth bite in the wrong position, either in the front or back.
Open Bite
A condition where the upper and lower teeth do not overlap, most commonly affecting the front teeth.
Crowding
Teeth that are crooked or overlapping due to limited space in the jaw.
Spacing
Noticeable gaps or excess space between teeth can affect alignment and appearance.
Jaw Surgery
Surgical treatment that can improve function, appearance, airflow, and facial balance.
Mouth Breathing
Often linked to reduced airway space and underlying skeletal development issues.

Cost & Insurance Braces & Invisalign in Bradfordville, Tallahassee
At Redemption Orthodontics, we make it simple and stress-free to start orthodontic treatment.
- Clear, upfront pricing with flexible payment plans and 0% APR financing.
- We accept most major PPO dental insurance plans and handle insurance claims on your behalf.
- Transferring patients from other orthodontic practices is always welcome.



Advanced Orthodontic Appliances
Palatal Expander
Upper jaw expansion using RPE, SARPE, or MARPE to correct bite issues, improve airway space, and reduce crowding.
Retainers
Both fixed and removable retainers are available, with recommendations based on what best suits your needs.
Nance Appliance
Designed to maintain space in the upper arch and prevent unwanted tooth movement.
Lower Lingual Holding Arch
Used to preserve space in the lower arch and support the proper eruption of permanent teeth.

Advanced Technology for Precise, Comfortable Orthodontic Care
- iTero 5D Lumina Scanner: Advanced digital scanning used to capture precise 3D images of your teeth for accurate orthodontic diagnosis and treatment planning.
- Digital X-Rays: Our office uses the VaTech PAX-i Plus 2D PAN/CEPH system to produce clear images that support detailed orthodontic evaluation.
- 3D Printed Appliances: Custom orthodontic appliances such as expanders, LLHA, Nance, and TPA are produced using modern 3D printing technology.
- Invisalign Clear Aligners: Clear aligner treatment planned with digital technology to gradually move teeth into improved alignment.
- Emergency Support: Prompt orthodontic care is available to address urgent concerns and help keep treatment progressing smoothly.

What Our Patients Say

Redemption Orthodontics is Often Mentioned as Best Orthodontists in North Tallahassee, FL
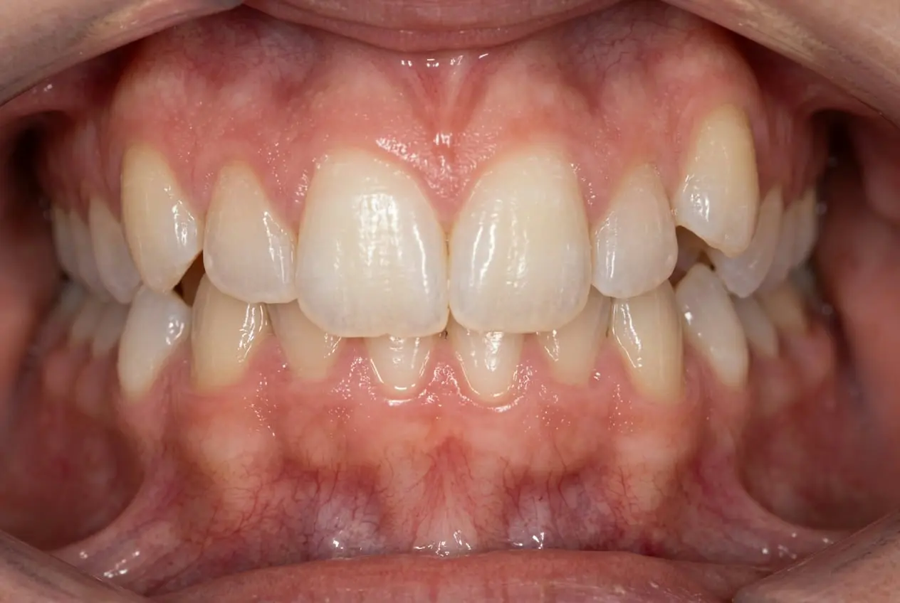
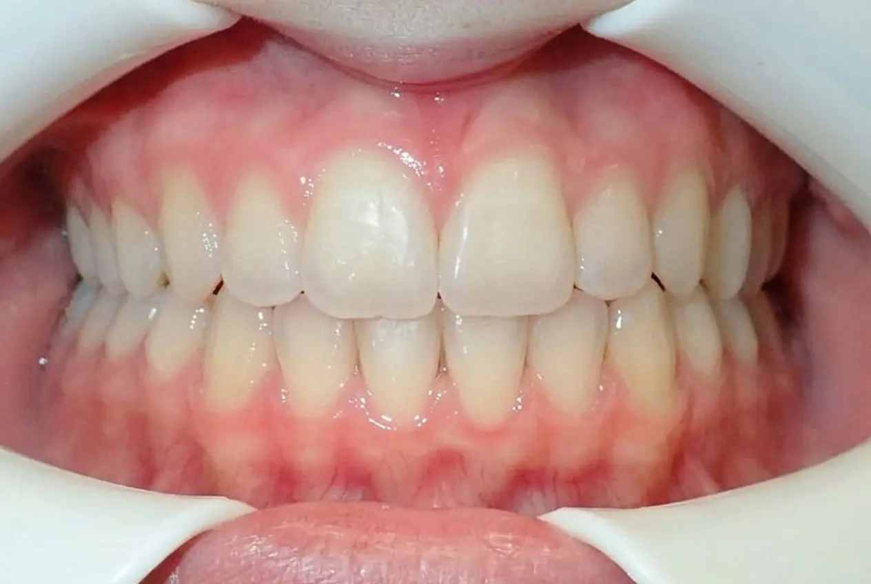
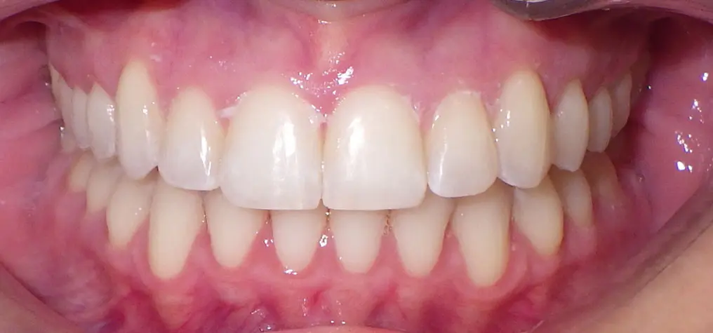
Smile Gallery: Invisalign & Braces Before‑and‑After
Explore real cases treated with braces and Invisalign. Results vary by patient – book a free consultation to learn what’s possible for your smile.
Before
After
Invisalign
Before
After
Invisalign
Before
After
Braces
Before
After
Braces
Your Orthodontic Office in Bradfordville, Tallahassee
3715 Bradfordville Rd
STE 1
Tallahassee, FL
32309
Our office is conveniently located for easy access in the heart of Bradfordville. Redemption Orthodontics is proud to be a trusted, doctor-owned orthodontic practice serving families throughout Bradfordville and North Tallahassee. We are not a corporate chain; we are a private practice dedicated to personalized, high-quality care for our community.
We are near popular businesses and schools such as Target, Publix, Bannerman Crossings, Lawton Chiles High School, Montford Middle School, Deerlake Middle School, Killearn Lakes Elementary School, Robert Elementary School, and Gilchrist Elementary School. So whether you’re shopping or stopping by schools nearby, our office is easy to find. Easily accessible from Thomasville Road, Centerville Road, Bannerman Road, and Bradfordville Road.
We proudly provide orthodontic services to patients in some of Tallahassee’s top neighborhoods such as Golden Eagle, Summerbrooke, Killearn Lakes, Killearn Estates, Ox Bottom, Waverly Hills, and Woodgate.
















